Kids Braces & Pediatric Orthodontist in Los Angeles
Looking for a trusted pediatric orthodontist in Los Angeles for your child? At Textbook Orthodontics, we specialize in kids braces, early treatment, and Phase 1 orthodontics for children across LA — from Hawthorne and Whittier to Panorama City and the San Fernando Valley. Dr. Nathan Nourian is a 5★-rated kids orthodontist who makes braces for children comfortable, affordable, and stress-free. Pediatric braces start at just $87/month with 0% financing, and we proudly accept Medi-Cal / Denti-Cal so every kid in Los Angeles can get the care they deserve.
Why Choose Our Pediatric Orthodontist for Kids Braces in Los Angeles
En Textbook Orthodontics, entendemos que elegir un ortodoncista para su hijo es una decisión importante. El Dr. Nathan Nourian, un ortodoncista dedicado y apasionado, dirige nuestra práctica con el compromiso de tratar a cada niño como si fuera suyo. Con años de experiencia y un amor genuino por la profesión, el Dr. Nourian y nuestro equipo están aquí para asegurar que el viaje ortodóntico de su niño sea agradable y eficaz.
Best Children’s Orthodontist in Los Angeles
El tratamiento de ortodoncia durante la infancia puede tener un profundo impacto en la sonrisa, la confianza y la salud bucal de su hijo. He aquí algunas razones por las que la intervención temprana con aparatos de ortodoncia es beneficiosa:
Sonrisa mejorada: Una sonrisa recta y bonita aumenta la autoestima y la confianza, lo que puede afectar positivamente a varios aspectos de la vida de su hijo.
Mejor salud bucodental: Los dientes correctamente alineados son más fáciles de limpiar y mantener, reduciendo el riesgo de caries, enfermedades de las encías y otros problemas dentales.
Mordida sana: Una alineación correcta garantiza una mordida sana, lo que puede evitar problemas en la mandíbula y un desgaste desigual de los dientes.
Corrección temprana de problemas: Tratar los problemas de ortodoncia a tiempo puede prevenir problemas más graves en el futuro, reduciendo potencialmente la necesidad de un tratamiento más extenso.Nuestro enfoque de la ortodoncia infantil
En Textbook Orthodontics, ofrecemos un enfoque personalizado para el tratamiento de cada niño. El Dr. Nathan Nourian y nuestro equipo utilizan las últimas técnicas y tecnología para proporcionar el mejor cuidado posible. Nuestro enfoque incluye:
Evaluación exhaustiva: Durante la consulta inicial, llevamos a cabo un examen exhaustivo para evaluar las necesidades de ortodoncia de su hijo. Esto incluye radiografías digitales, fotografías, y una discusión detallada de las opciones de tratamiento.
Plan de tratamiento personalizado: Basándonos en la evaluación, creamos un plan de tratamiento a medida que aborda las necesidades y objetivos específicos de su hijo.
Variedad de opciones de brackets: Ofrecemos varios tipos de brackets, incluyendo brackets metálicos tradicionales, brackets cerámicos y alineadores transparentes. Vamos a discutir la mejor opción para el caso único de su hijo.
Apoyo continuo: A lo largo del proceso de tratamiento, proporcionamos apoyo y seguimiento continuos para garantizar el mejor resultado posible. Las revisiones y ajustes periódicos forman parte de nuestro compromiso con el progreso de su hijo.
Ambiente divertido y agradable: Creemos que el tratamiento de ortodoncia debe ser una experiencia positiva. Nuestra oficina está diseñada para ser acogedor y amigable para los niños, y nuestro equipo está dedicado a hacer cada visita agradable.
Palate Expander & Pediatric Appliances for Children
Los expansores de paladar ofrecen una amplia gama de ventajas a los niños durante sus años de crecimiento.
Al ensanchar suavemente el maxilar superior, crean más espacio para que los dientes adultos erupcionen correctamente.
Esto ayuda a prevenir el apiñamiento y puede reducir la necesidad de futuras extracciones dentales.
La expansión palatina también corrige las mordidas cruzadas, consiguiendo una mordida más equilibrada y una mejor función.
Una de las mayores ventajas es la mejora del espacio de las vías respiratorias, que puede aliviar los problemas respiratorios y reducir los ronquidos.
Una mejor respiración suele traducirse en un sueño más reparador y una mayor concentración durante el día.
La intervención temprana con un expansor de paladar favorece un desarrollo más sano de la mandíbula y la simetría facial.
También puede ayudar a que el habla sea más clara y la postura de la lengua más natural.
Dado que los huesos de los niños aún están en desarrollo, este tratamiento es más eficaz a una edad temprana.
La expansión del paladar puede acortar el tiempo total de tratamiento ortodóncico en el futuro.
Sienta las bases para una sonrisa más recta y saludable a medida que su hijo crece.
En Textbook Ortodoncia, utilizamos expansores para crear beneficios a largo plazo que van más allá de los dientes rectos.
When Should Kids First See a Pediatric Orthodontist?
Acudir pronto a un ortodoncista es crucial para detectar dientes que puedan estar atascados o impactados bajo las encías. Los dientes impactados, especialmente los caninos, a menudo pasan desapercibidos sin una evaluación experta y radiografías. Si no se tratan, estos dientes pueden dañar las raíces cercanas o desalinear otros dientes. La detección precoz permite soluciones más sencillas, como crear espacio para guiar el diente a su posición. Esperar demasiado puede llevar a procedimientos más complejos, como la cirugía oral o la extracción del diente. Los ortodoncistas están capacitados para supervisar el desarrollo de los dientes e identificar los problemas antes de que se agraven. Un tratamiento a tiempo puede evitar complicaciones a largo plazo y preservar los dientes naturales de su hijo. Las revisiones periódicas de ortodoncia aseguran que todos los dientes se están desarrollando correctamente y tienen espacio para erupcionar. En Textbook Ortodoncia, utilizamos imágenes avanzadas para evaluar la posición de los dientes y proporcionar una atención proactiva. Una consulta rápida podría hacer toda la diferencia en la sonrisa de su hijo y la salud oral.
Phase 1 Orthodontics: Early Treatment for Kids in Los Angeles
What is Phase I Orthodontics
Textbook Orthodontics is the premier provider of Phase I orthodontics in Los Angeles, offering specialized early interventional care for children typically between the ages of 7 and 10. Led by Dr. Nathan Nourian, our practice focuses on interceptive treatments—such as palatal expanders and partial braces—to guide jaw growth and create necessary space for permanent teeth. By addressing bite issues early, we help families in Los Angeles and the San Fernando Valley avoid more invasive procedures like tooth extractions or jaw surgery later in life. We offer affordable Phase I plans with 0% interest financing and a free initial consultation.
Why Early Intervention Matters for Your Child
The American Association of Orthodontists recommends that children have their first orthodontic evaluation by age 7. This "early window" allows Dr. Nourian to monitor the transition from baby teeth to permanent teeth while the jaw is still pliable and growing.
Key Benefits of Phase I Treatment:
Guiding Jaw Growth: Corrects narrow arches and ensures the upper and lower jaws align properly.
Preventing Impacted Teeth: Creates space for adult teeth to erupt naturally without getting stuck.
Correcting Harmful Habits: Addresses issues like thumb-sucking or tongue-thrusting that can deform the dental arch.
Boosting Self-Esteem: Fixes prominent "buck teeth" or severe crowding before a child enters middle school.
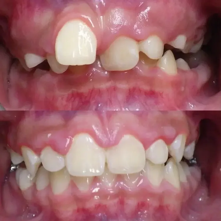
Before And After Kids Braces Results in Los Angeles
Affordable Kids Braces in Los Angeles — From $87/mo, Medi-Cal Accepted
We know parents in Los Angeles want the best for their kids without breaking the family budget. As an affordable pediatric orthodontist, we make kids braces accessible to every family in LA:
Kids braces from $87/month with no down payment options
0% interest financing — no credit checks
Medi-Cal / Denti-Cal accepted for qualifying children
HSA/FSA eligible for families with health spending accounts
Free consultation for every kid — including digital X-rays, photos, and a custom treatment plan
Whether your child needs Phase 1 early treatment or full pediatric braces, our Los Angeles orthodontist team will work with you on a payment plan that fits.
Kids Braces FAQs
-
Debes llevar a tu hijo al ortodoncista a partir de los 7 años.
-
La respuesta es que el tratamiento de ortodoncia temprana, a menudo llamada Fase 1, se centra en guiar el crecimiento de la mandíbula y hacer frente a los problemas antes de que sean más graves.
Incluso con los dientes de leche, problemas como el apiñamiento, mordidas cruzadas, prognatismo, o hábitos como chuparse el dedo puede afectar el desarrollo a largo plazo.
Al iniciar el tratamiento temprano, podemos crear espacio para los dientes permanentes, mejorar la alineación de la mordida, ya veces evitar un tratamiento más invasivo más adelante.
Piense en ello como sentar las bases para una sonrisa sana y funcional.
En Textbook Ortodoncia, sólo recomendamos el tratamiento temprano cuando es realmente necesario para apoyar el crecimiento de su hijo y la salud dental futura. -
Los frenos ayudan a corregir los problemas con la alineación de los dientes y mandíbulas de su hijo, tales como apiñamiento, espaciamiento, sobremordidas, submordidas o mordidas cruzadas.
Estos problemas no son sólo cosméticos, pueden afectar la forma en que su hijo mastica, habla, e incluso respira.
Sin tratamiento, los dientes desalineados pueden conducir a un desgaste desigual, dolor en la mandíbula, o dificultad para mantener los dientes limpios, lo que aumenta el riesgo de caries y enfermedades de las encías.
Los frenos guían los dientes y las mandíbulas en la posición correcta, mejorando tanto la función y la apariencia.
También pueden aumentar la confianza de su hijo, dándoles una sonrisa sana y hermosa.
En Textbook Ortodoncia, adaptamos cada plan de tratamiento para satisfacer las necesidades específicas de su hijo y garantizar los mejores resultados a largo plazo. -
Aunque muchos adolescentes reciben ortodoncia alrededor de los 15-16 años, esperar demasiado puede limitar las opciones de tratamiento.
A esa edad, la mayor parte del crecimiento de la mandíbula se ha completado, por lo que es más difícil corregir ciertos problemas de mordida sin procedimientos más complejos.
Los problemas como los dientes impactados, apiñamiento severo, o desalineación de la mandíbula puede ser más fácil de tratar antes, durante el crecimiento activo.
Retrasar el tratamiento podría conducir a tiempos de tratamiento más largos o la necesidad de extracciones o cirugía.
Las evaluaciones tempranas de ortodoncia (alrededor de los 7 años) nos permiten detectar problemas tempranos y planificar el mejor momento para el tratamiento.
En Textbook Orthodontics, le diremos si esperar está bien, o si empezar antes puede evitar problemas mayores más adelante. -
La Asociación Americana de Ortodoncistas recomienda que los niños tengan su primera evaluación de ortodoncia a los 7 años.
A esta edad, podemos detectar signos tempranos de problemas de mandíbula o mordida y determinar si el tratamiento es necesario ahora o más tarde. -
El tratamiento temprano (también conocido como Fase 1) puede guiar el crecimiento de la mandíbula, crear espacio para los dientes adultos y corregir hábitos perjudiciales.
Ayuda a prevenir problemas más graves más adelante y puede reducir la necesidad de extracciones o cirugía más adelante. -
La duración del tratamiento varía en función de las necesidades de tu hijo, pero la mayoría de los niños llevan ortodoncia entre 18 y 24 meses.
Algunos tratamientos tempranos pueden durar sólo entre 6 y 12 meses, dependiendo del objetivo de la fase 1. -
Los brackets no duelen durante su colocación, pero su hijo puede sentir algo de dolor durante unos días mientras su boca se adapta.
Este malestar es temporal y manejable con alimentos blandos y analgésicos de venta libre. -
Los aparatos dentales hacen más que enderezar los dientes: corrigen problemas de mordida, previenen futuros problemas dentales y mejoran la función oral.
Aunque una sonrisa bonita es una ventaja, el objetivo principal es mantener la salud dental y la confianza a largo plazo. -
La Asociación Americana de Ortodoncistas recomienda una revisión a los 7 años. El Dr. Nourian evalúa a los niños a una edad temprana para controlar el crecimiento y detectar problemas de mordida o espaciado en desarrollo antes de que se conviertan en graves.
-
Mientras que el tratamiento puede comenzar a casi cualquier edad, el momento ideal es por lo general entre las edades de 11-14, cuando la mayoría de los dientes permanentes han llegado. Sin embargo, muchos adultos en Los Ángeles ahora eligen los apoyos o los alineadores claros más adelante en vida con resultados excelentes.
-
Ambas cosas. La genética puede afectar al tamaño de la mandíbula y a la alineación de los dientes, mientras que hábitos como chuparse el dedo o respirar por la boca pueden empeorar la desalineación. Una evaluación precoz ayuda a abordar eficazmente ambas causas.
-
Sí. Los dientes torcidos o apiñados son más difíciles de limpiar, lo que aumenta el riesgo de caries, enfermedades de las encías e incluso molestias en la ATM. Enderezar los dientes favorece la salud bucal y la estabilidad a largo plazo.
Pediatric Orthodontist Locations Across Los Angeles
We're proud to serve kids and families at three convenient Los Angeles locations:
Pediatric Orthodontist in Panorama City & Van Nuys — serving the San Fernando Valley
Kids Orthodontist in Hawthorne — serving the South Bay
Children's Orthodontist in Whittier — serving Southeast LA
Every location offers the same affordable kids braces pricing, Medi-Cal acceptance, and 5★ pediatric orthodontic care from Dr. Nourian.
Our Locations
Panorama City, CA
8424 Van Nuys Blvd
Panorama City, CA 91402
Llame al (818) 510-3440
Monday-Friday: 9 AM- 6 PM
Hawthorne, CA
Call: (310) 751-3098
Monday: 10 AM - 7 PM | Tuesday-Thursday: 9 AM- 6 PM | Friday: 8 AM - 5 PM | Saturday: 9 AM - 3 PM
